Saltar al contenido

Los macrófagos, unas células que comen tatuajes

Los-macrófagos-unas-células-que-comen-tatuajes

Los científicos franceses descubrieron que los tatuajes se mantienen gracias a un proceso en constante cambio. Los cristales de tinta son absorbidos continuamente, regurgitados y engullidos por los macrófagos. Estos son unas células inmunes que ingieren desechos extraños o insalubres en el cuerpo.

Pensamos en los tatuajes como adornos fijos. Sumerja la tinta lo suficientemente profundo en la piel y allí se sentará, suspendida en el tejido conectivo subterráneo para siempre. Pero, ¿y si te dijéramos que los tatuajes en realidad se mantienen mediante un proceso en constante cambio. Este es el proceso en el que los cristales de tinta se envuelven continuamente, se regurgitan y vuelven a engullir. Simplemente dando la ilusión de estasis?

Eso es lo que observaron los científicos franceses al estudiar ratones con tatuajes. En su modelo de persistencia del tatuaje, publicado el martes en el Journal of Experimental Medicine. Los macrófagos (células inmunitarias que ingieren desechos extraños o no saludables en el cuerpo) desempeñan un papel protagonista. El objetivo de estas células, sugirieron los autores, podría ayudar a mejorar los procedimientos de eliminación de tatuajes para las personas.

Los macrófagos unas células únicas e interesantes

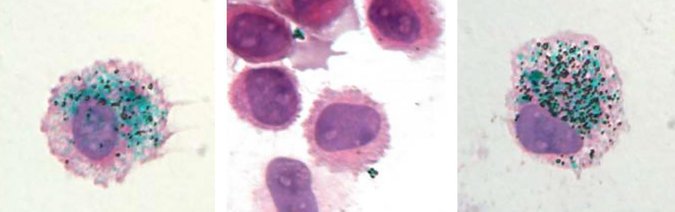
Cuando se da un tatuaje, los macrófagos descienden para capturar la tinta invasora. Probablemente porque los gránulos de tinta son demasiado voluminosos para que se descomponga el microscópico Pac-Mans. Se aferran al pigmento y el arte de su cuerpo brilla a través de sus vientres.

Con el tiempo, estos macrófagos originales mueren y liberan sus pigmentos, que son aspirados por nuevos macrófagos, comenzando el ciclo, dijo Sandrine Henri. Investigadora del Centro de Inmunología de Marsella-Luminy, quien dirigió el estudio con su colega Bernard Malissen.

Los-macrófagos-unas-células-que-comen-tatuajes-

Esta investigación «muestra que los tatuajes son mucho más dinámicos de lo que creíamos», dijo Johann Gudjonsson, profesor de inmunología y dermatología en la Universidad de Michigan, que no participó en el estudio.

La ciencia detrás de tu ancla fondeada, gorrión o mapamundi de lugares que has viajado nunca ha sido completamente descifrado. Durante años, los investigadores sospecharon que los tatuajes funcionaban teñiendo permanentemente los fibroblastos, las células que sintetizan colágeno, debajo de la superficie de la piel.

Luego, al observar las biopsias de tatuajes bajo el microscopio, los científicos vieron a los macrófagos cargados de glóbulos de tinta. Y la historia de los tatuajes se convirtió en uno de los sistemas inmunes. Aun así, se creía que los macrófagos que llevaban tatuajes eran estables y duraderos. Lo que les daba a los tatuajes su permanencia. Lo que sugiere este estudio es que, al menos en ratones, estos macrófagos se reemplazan constantemente.

Los macrófagos son los que hacen la prueba con tatuajes en el cuerpo

Ni Henri ni Malissen tienen tatuajes, y la pareja no se propuso estudiarlos. Examinaban las células de la piel en ratones negros para otro proyecto cuando notaron que los macrófagos estaban hurgando en la melanina liberada por las células productoras de pigmento. Se preguntaron si el mismo proceso ocurrió en los tatuajes.

Al tatuar rayas verdes en las colas de ratones albinos (a través de stick-and-poke), los inmunólogos confirmaron que los macrófagos secuestraban la tinta. Cuando mataron selectivamente a los macrófagos, los tatuajes de la cola se mantuvieron sin cambios; nuevos macrófagos habían entrado y sorbían los pigmentos liberados.

Luego, el equipo injertó la piel tatuada de un ratón a otro. Después de seis semanas, la mayoría de los macrófagos cargados de tinta en el injerto provenían del ratón receptor, no del donante. Evidencia de que los macrófagos habían pasado por un ciclo de renovación.

Los macrófagos ayudarían eliminar el uso de láser

Los autores especulan que los macrófagos dirigidos podrían mejorar la eliminación del láser, que puede tomar hasta 20 tratamientos. Se estima que 1 de cada 5 adultos en los Estados Unidos tienen al menos un tatuaje. Y decenas de miles de extracciones con láser se realizan cada año.

Jared Jagdeo, un dermatólogo de la Universidad de California en Davis. También se ha preguntado si los macrófagos impiden la eliminación de tatuajes reabsorbiendo partículas de tinta con láser. Desde 2014, ha realizado un procedimiento de eliminación de láser que utiliza una pomada antiinflamatoria para suprimir los macrófagos.

Pero Nicholas Golda, un dermatólogo de la Facultad de medicina de la Universidad de Missouri, sugirió que otros enfoques podrían ser más simples y más efectivos. Otros han intentado promocionar las tintas de tatuaje que se rompen más fácilmente con el láser, pero no han funcionado porque «los artistas del tatuaje no estaban interesados ​​en facilitar que las personas eliminen su arte», dijo.

Y hacerse un tatuaje del nombre de su amante, sabiendo que se puede borrar fácilmente, simplemente no tiene el mismo golpe romántico, ¿verdad? Por ahora, parece que los tatuajes siguen siendo de gran importancia, difíciles de revertir y sagrados, pero no los confundas con una parte fija e invariable de tu cuerpo.

Mira estas notas recomendadas para ti:

Fuente: www.nytimes.com